



Dr. Pradeep Kumar is a highly reputed Orthopaedician currently associated with Positron Super Speciality and Cancer Hospital, Sector 35, Rohtak. With over 10 years of clinical excellence in Orthopaedics, he has worked across multiple cities in India, gaining rich experience in managing a wide spectrum of bone, joint, and spine conditions.
Throughout his career, Dr. Pradeep Kumar has successfully handled numerous complex and high-risk cases. He is widely appreciated for his precise diagnostic skills, patient-centric approach, and compassionate treatment style, which helps patients feel confident and supported throughout their recovery journey.
His core areas of expertise include:
1. Fellow in JOINT REPLACEMENT (DITO,St Parmanand Hospital, New Delhi)
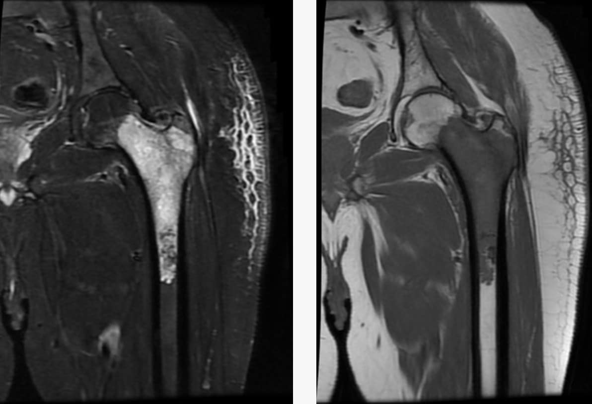
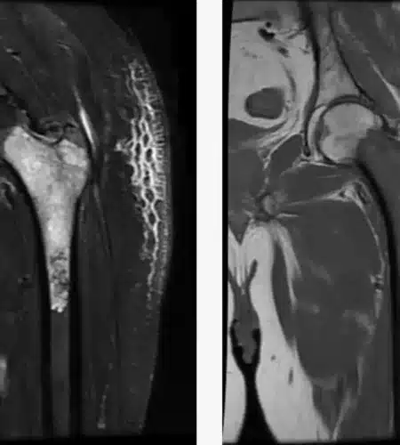
2. Fellowship in Musculoskeletal Oncology, under Prof Dr ASHISH GULIA, Director & Head Surgical Oncology, Homi Bhabha Cancer Hospital & Research Centre (A unit of Tata Memorial Centre), New Chandigarh, April 2024- April 2025
Joint replacement and reconstruction have seen remarkable progress in recent years, offering patients improved mobility, reduced pain, and faster recovery.
Expert Trauma & Fracture Care by Dr. Pradeep Kumar: Advanced treatment for complex fractures, polytrauma, and injuries. Precise surgery, rapid recovery, and restored mobility using modern techniques. Compassionate, specialized care for optimal outcomes.
Expert management of spinal tumors and infections (including tuberculosis) using advanced minimally invasive surgery, decompression, stabilization, and targeted therapy for optimal neurological preservation.
Pediatric orthopaedics focuses on musculoskeletal issues in children from birth to adolescence, addressing congenital deformities, developmental conditions, trauma, infections, and tumors.
Hand, Wrist & Microsurgery is a highly specialized field of orthopaedics and reconstructive surgery dedicated to the treatment of conditions affecting the hand, wrist, forearm, and peripheral nerves.
Foot and ankle services encompass comprehensive care for disorders affecting mobility, from acute injuries to chronic conditions.
Choose Dr. Pradeep Kumar for trusted orthopaedic excellence in Sector 35, Positron Hospital, Rohtak. With over 10 years of experience, he specializes in advanced joint replacement (hip & knee), complex trauma, bone and soft tissue tumors, robotic joint replacement etc. Patients prefer him for precise diagnosis, latest minimally invasive techniques, personalized care, and faster recovery. From arthritis and sports injuries to complex fractures and carpal tunnel, every treatment is delivered with compassion and clinical precision. Thousands have regained pain-free movement and active lives under his care. Book your consultation today and experience world-class orthopaedic treatment with genuine care and proven results. Your mobility deserves the best.
Dr. Pradeep Kumar specializes in the following treatments
A closed needle biopsy is much safer and less invasive than an open biopsy. It minimizes the risk of the tumor spreading to surrounding tissues, creates a smaller scar, and allows for faster recovery. Crucially, a poorly planned open biopsy can sometimes make limb-saving surgery impossible later on. For more details visit Dr. Pradeep.
No, you should never remove a lump without knowing exactly what it is. If the lump is a sarcoma (cancer), “shelling it out” without a proper margin can leave cancer cells behind and lead to recurrence. Always consult an orthopedic oncologist for a proper evaluation and biopsy first. For more details visit Dr. Pradeep.
No, it is definitely not the end of the road. While it indicates stage 4 disease, modern treatments can effectively control the disease, relieve pain, and prevent fractures. Surgery can often fix weak bones, allowing patients to remain mobile and maintain a good quality of life for a significant time. For more details visit Dr. Pradeep.
Yes. These are called “pathological fractures.” Specialized surgery can stabilize the bone using rods or prosthetics. This relieves severe pain almost immediately and helps the patient get back on their feet, rather than being bedridden. For more details visit Dr. Pradeep.
Not anymore. With advancements in technology and “Limb Salvage Surgery,” roughly 90-95% of patients can save their limbs. We remove the tumor and reconstruct the bone using metal implants or bone grafts, preserving both the appearance and function of the limb. For more details visit Dr. Pradeep.
You should seek expert advice if you have deep, aching bone pain that is worse at night, does not go away with rest, or is not related to a specific injury. Persistent swelling or a hard lump accompanying the pain are also signs that require an immediate check-up. For more details visit Dr. Pradeep
1. Previous Treatment Records If you have been treated for cancer before (even years ago), bring discharge summaries, chemotherapy protocols, or radiation records. This helps us understand if the current issue is a new tumor or a spread (metastasis) from the old one. For more details visit Dr. Pradeep.
2. A List of Current Medications Write down any medicines you are currently taking, especially blood thinners or diabetes medication, as these may affect surgical planning. For more details visit Dr. Pradeep.
3. A Family Member or Friend Oncology consultations involve a lot of information. It is helpful to have a support person with you to listen, take notes, and help you remember the doctor’s advice. For more details visit Dr. Pradeep
EXCELLENT Based on 50 reviews Posted on Anil KunduTrustindex verifies that the original source of the review is Google. Dr Pradeep Kumar is the Best Ortho Onco Doctor in Rohtak City. He treats patients like his own family. He is very polite and having best knowledge in his fieldPosted on neha hoodaTrustindex verifies that the original source of the review is Google. Overall a very nice experience at positron hospital. Dr. Pradeep did my elbow fracture surgery and it was perfect,without any complications or pain.Posted on Rishi RamTrustindex verifies that the original source of the review is Google. Good docterPosted on Sonu GoyalTrustindex verifies that the original source of the review is Google. Dr Best cooperativePosted on Varun DixitTrustindex verifies that the original source of the review is Google. Dr. Pardeep is a very good professional doctor.Posted on DEEPAK KUMARTrustindex verifies that the original source of the review is Google. When our family was going through one of the most difficult times after a serious accident that caused multiple fractures dr predeep Kumar came as a blessing to us from the very first meeting he gave us confidence and hope.Posted on Jyoti SinghTrustindex verifies that the original source of the review is Google. Dr pradeep sir rohtak k best dr h Ortho k sir ka nature bahut hi achaa h ,pt se bahut hi pyar se baat krtye h best surgery krtye h robotic ππjitni tariff karye utni kam h , ek baar jarur milye. πππ»Posted on pawan kapoorTrustindex verifies that the original source of the review is Google. Dr. Pradeep Kumar is an excellent ortho-onco surgeon. He performed surgery on my uncle, and we are extremely satisfied with the treatment and outcome. From the first consultation till post-operative care, he was very professional, patient, and reassuring. The surgery went smoothly and my uncle is recovering well. We are truly grateful for his skill, dedication, and compassionate approach. Highly recommended for anyone needing orthopaedic oncology care.