Dr. Pradeep Kumar

Slide

Foot & Ankle Services

Foot & Ankle Services

Foot and ankle services encompass comprehensive care for disorders affecting mobility, from acute injuries to chronic conditions. The complex anatomy—28 bones, numerous joints, ligaments, and tendons—demands specialized expertise for optimal outcomes.

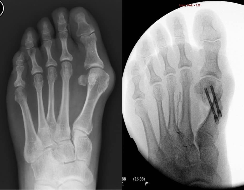
Dr. Pradeep Kumar provides advanced management for common issues like ankle sprains, fractures, Achilles tendon ruptures, plantar fasciitis, bunions (hallux valgus), flat feet (pes planus), arthritis, diabetic foot complications, and sports injuries.

Diagnostic tools include digital X-rays, MRI, CT, and ultrasound for precise evaluation.

Non-surgical options prioritize conservative care: custom orthotics, bracing, physiotherapy, injections (corticosteroid/PRP), and shockwave therapy for heel pain.

Surgical interventions, when needed, utilize minimally invasive techniques:

Ankle arthroscopy for cartilage damage, impingement, or loose bodies.

Open/minimally invasive repair for Achilles ruptures.

Flat foot reconstruction with tendon transfers and osteotomies.

  • Fracture fixation with plates/screws.
  • Osteotomy/fusion for bunions or arthritis.
  • Ligament reconstruction (Brostrom) for chronic instability.

Postoperative rehabilitation ensures early weight-bearing and return to activities. Diabetic patients receive specialized wound care to prevent ulcers/amputations.

Early consultation for persistent pain, swelling, or deformity prevents progression—expert foot and ankle care restores pain-free walking and active lifestyles.